12 de janeiro de 2026

Cascavel

Fale conosco

Cotidiano

Homem é hospitalizado após tapar a boca e o nariz enquanto espirrava

O homem recebeu um tubo de alimentação e antibióticos intravenosos como medida de precaução...

Homem é hospitalizado após tapar a boca e o nariz enquanto espirrava
© SOT

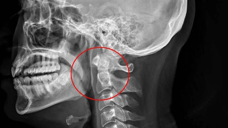
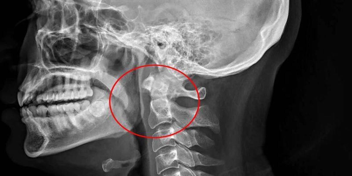
Um homem de 34 anos decidiu tentar bloquear um espirro tapando a boca e o nariz ao mesmo tempo. Foi quando sentiu um estalo no pescoço e acabou na emergência de um hospital.

Segundo o IFLS, o caso foi descrito em um relatório médico com o título de "Estalos: quando espirrar leva à crepitação no pescoço”.Ele também passou a sentir dor de garganta, dificuldade para engolir e até mesmo uma mudança na voz. Após um exame, foi descoberto que, durante o ato de suprimir o espirro, ele rompeu a nuca, criando bolhas de ar dentro de seus tecidos profundos e músculos.A ruptura – que geralmente é causada por traumatismo cervical contuso, vômitos profusos e tosse forte – fez com que o ar vazasse para a região retrofaríngea (veja a seta na imagem acima).

O homem recebeu um tubo de alimentação e antibióticos intravenosos como medida de precaução, recebendo alta logo em seguida. A equipe médica responsável pelo caso advertiu no relatório: "Parar o espirro bloqueando as narinas e a boca é uma manobra perigosa e deve ser evitada, podendo levar a inúmeras complicações, como pneumomediastino, perfuração da membrana timpânica e até ruptura do aneurisma cerebral.”

/Via: Metro Jornal - Foto: Divulgação

Mais Lidas